Ingenia Elition 3.0T X

Немає на складі
В наявності
0,00 грн
0,00 грн
+
Способи доставки
Способи оплати
Опис

Ingenia Elition 3.0T X

A revolutionary breakthrough in diagnostic quality – and speed / Революційний прорив у діагностичній якості та швидкості

MRI systems / Системи МРТ

Рішення Philips Ingenia Elition пропонує передові методи МР-візуалізації, задаючи нові стандарти для клінічних досліджень у сфері 3,0 Тл завдяки інноваційному дизайну градієнтної та радіочастотної систем.
Ingenia Elition 3.0T X забезпечує виняткову якість зображень і виконує МРТ-дослідження до 50% швидше¹.

Загальний час обстеження скорочується завдяки швидкому налаштуванню пацієнта в апертурі за допомогою безконтактного керованого процесу та прискорення у 2D- та 3D-скануванні.
Система пропонує пацієнтам занурювальний аудіовізуальний досвід, що сприяє спокою та співпраці протягом усього дослідження.



Особливості / Features

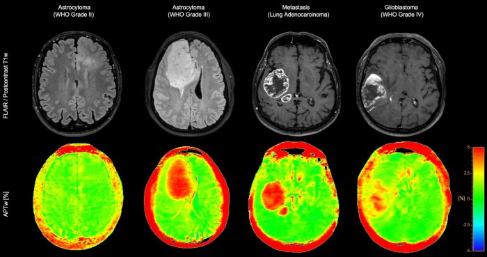
Діагностична впевненість у нейроонкології

3D APT (Amide Proton Transfer) – унікальний метод МРТ-візуалізації головного мозку без використання контрасту.
Він використовує наявність ендогенних клітинних білків для створення МР-сигналу, що безпосередньо корелює з проліферацією клітин – важливим індикатором пухлинної активності.
3D APT підвищує діагностичну впевненість при нейроонкологічних дослідженнях.

 

До 30% швидші DWI-дослідження²

Завдяки високопродуктивним градієнтам Ingenia Elition дифузійні дослідження виконуються до 30% швидше² і мають чіткіший вигляд.
У середньому досягається на 70% вищий контраст у дифузійній візуалізації².
Відношення сигнал/шум додатково покращується завдяки скороченню TE до 15%².

 

Швидкість без компромісів

Технологія Philips SmartSpeed поєднує нагороджені рішення AI³ і рушій Compressed SENSE, забезпечуючи:

  • прискорення сканування до 3 разів⁴,
  • підвищення роздільної здатності до 65%⁴,
  • високу якість зображення без компромісів,
  • сумісність із 97% клінічних протоколів⁵.

Покриває потреби:

  • у дослідженнях при русі,
  • у зонах із імплантами,
  • при вільному диханні,
  • у дифузійно-зваженій візуалізації.

 

Підвищена продуктивність із Smart Workflow

Скорочення та спрощення етапів підготовки пацієнта дозволяє персоналу приділяти більше уваги пацієнтам.
Smart Workflow керує та навчає там, де потрібно, й автоматизує процеси там, де це можливо, досягаючи високої продуктивності.

До 60% вища просторовa роздільна здатність³

Повністю оновлені градієнти у поєднанні з технологією Compressed SENSE дозволяють отримати до 60% вищу просторову роздільну здатність³ за той самий час сканування, розкриваючи більше деталей для точнішої діагностики.
Це особливо корисно для прискорення ізотропної 3D MSK-візуалізації.

 

Нові горизонти в нейрофункціональній МРТ

Градієнти Vega HP у системі Ingenia Elition забезпечують до 23% вищу часову роздільну здатність у fMRI-дослідженнях³, відкриваючи нові можливості для функціональної нейровізуалізації та вивчення структурних і функціональних зв’язків мозку.

 

Ефективність із самого початку

MR Workspace – нова консоль Philips для МРТ, що підтримує ефективність і зручність роботи персоналу у контрольній кімнаті завдяки інтегрованій AI-допомозі, автоматизації завдань та покроковим підказкам.

  • Полегшує роботу техніків незалежно від досвіду.
  • 80% планування обстеження автоматизовано, а передача результатів у PACS відбувається на 30% швидше⁶.

 

Автоматизація планування сканування

SmartExam⁷ забезпечує відтворювані результати планування більш ніж для 80% процедур, автоматично визначаючи геометрію сканування відповідно до попередньо затверджених налаштувань.
Це дозволяє стандартизувати процес МРТ-досліджень на різних консолях Philips.

 

Занурювальний візуальний досвід для пацієнта

Ambient Experience дає змогу пацієнтам і персоналу налаштовувати освітлення, звук та візуальний супровід у сканері відповідно до їхніх уподобань, створюючи заспокійливе середовище та зменшуючи стрес.

 

Підвищення комфорту пацієнтів

Ingenia Elition пропонує покращений досвід завдяки Comfort Plus Mattress:

  • 90% пацієнтів із вираженим дискомфортом повідомляють про полегшення під час перебування на цьому матраці порівняно зі звичайним⁵.
  • У середньому комфорт пацієнтів із вираженим дискомфортом підвищується на 36%⁵.

 

Технічні характеристики / Specifications

Magnet system / Система магніту

  • Напруженість магнітного поля: 3,0 Тл
  • Діаметр апертури: 70 см
  • Маса магніту: 4800 кг
  • Однорідність у полі 50 × 50 × 45 см V-RMS: ≤ 0,9 ppm (у DSV 45 см)
  • Технологія HeliumSave: Так (нульове випаровування)⁶
  • Максимальне поле огляду (FOV): 55 см
  • Швидкість випаровування кріогену: 0 л/год (за звичайних умов сканування)

 

RF transmit / Радіочастотна передача

  • Паралельна передача RF: Так
  • Вихідна потужність: ≥ 2 × 18 кВт

 

RF receive / Радіочастотний прийом

  • Кількість незалежних каналів прийому: Незалежна від конфігурації
  • Розташування АЦП (ADC): Усередині котушки, поруч із приймальними елементами
  • Ланцюг сигналу від котушки до реконструктора: Повністю цифровий
  • Технологія dStream: Так

 

Siting information / Вимоги до встановлення

  • Мінімальна площа приміщення: 3,4 × 5,3 м
  • Мінімальна висота стелі: 2,56 м

 

SmartWorkflow

  • Кероване налаштування дослідження: Так
  • Автоматичне центрування пацієнта: Так
  • Безконтактний респіраторний тригер: Так
  • Запуск дослідження безпосередньо у кімнаті: Так
  • ScanWise Implant: Так
  • Автоматизоване планування та сканування: Так
  • Автоматизоване навчання пацієнта: Так
  • Автоматизована постобробка: Так
Відгуки
Поки немає відгуків
Написати відгук
Ім'я*
Email
Введіть коментар*